Blog

Parodontite

Parodontite: sintomi, cause e cure efficaci | Studio Dentistico BCM

Malattia cronica delle gengive che può portare alla perdita dei denti.
Spesso inizia da una gengivite con gengive rosse e sanguinanti.
Sintomi comuni: alitosi, gengive che si ritirano, denti che si muovono.
Cause: placca, tartaro, fumo, diabete, stress e predisposizione genetica.
Diagnosi precoce = trattamenti minimamente invasivi, senza dolore.
Terapie personalizzate: igiene professionale, scaling, tecniche rigenerative.
Legami con salute generale: cuore, diabete, gravidanza.
Presso lo Studio Dentistico BCM a Roma (Salario – Quartiere Africano) diagnosi digitale e programmi di mantenimento personalizzati.

Perché parlare di parodontite oggi

Negli ultimi anni si parla sempre più spesso di salute gengivale. Non è solo una moda del settore: la scienza ha dimostrato che le gengive non sono un dettaglio estetico, ma una parte essenziale della nostra salute generale.

La parodontite — conosciuta anche come “piorrea” — è una malattia cronica che colpisce i tessuti di sostegno dei denti. Può evolvere lentamente e in silenzio, fino a compromettere la stabilità dei denti stessi.

Una malattia non facile da riconoscere senza visite dal dentista

Molte persone scoprono di avere un problema parodontale solo quando iniziano a notare gengive che sanguinano o denti che si muovono. In realtà, i primi segnali sono spesso più sottili e passano inosservati.

Ecco perché è importante parlarne: riconoscere la parodontite nelle fasi iniziali significa poterla fermare e salvare i propri denti naturali.

Parodontologia

La parodontite e la connessione ad altri disturbi

Ma c’è di più. Oggi sappiamo che la salute della bocca è strettamente collegata al benessere dell’intero organismo. Numerosi studi hanno dimostrato che le infiammazioni gengivali croniche possono aumentare il rischio di disturbi cardiovascolari, diabete e complicanze in gravidanza.

Parodontite e cuore: un legame invisibile ma reale

Quando le gengive si infiammano e sanguinano, i batteri presenti nella bocca possono entrare nel sangue e raggiungere il cuore e i vasi sanguigni. Questo processo può favorire l’infiammazione generale dell’organismo, contribuire alla formazione di placche che induriscono le arterie e aumentare il rischio di coaguli. In pratica, una gengivite trascurata o una parodontite non curata non si limitano alla bocca, ma possono diventare un fattore di rischio per problemi cardiovascolari.

Parodontite e diabete: un circolo vizioso

Chi soffre di diabete è più esposto alle infezioni, comprese quelle delle gengive, perché gli alti livelli di zucchero nel sangue favoriscono la crescita dei batteri e rallentano la guarigione dei tessuti. Allo stesso tempo, la parodontite peggiora il controllo della glicemia: l’infiammazione cronicariduce l’efficacia dell’insulina e rende più difficile mantenere stabili il valore degli zuccheri nel sangue. Questo crea un circolo vizioso nei pazienti diabetici che danneggia sia la salute orale sia quella generale.

Parodontite e gravidanza: un rischio sottovalutato

Durante la gravidanza, le gengive diventano più sensibili a causa dei cambiamenti ormonali, e la parodontite può avere conseguenze che vanno oltre la bocca. L’infiammazione gengivale cronica può infatti aumentare il rischio di parto prematuro e di neonati con basso peso alla nascita. Inoltre, i batteri orali che entrano nel sangue possono raggiungere la placenta, creando condizioni sfavorevoli per lo sviluppo del bambino. 

In altre parole, curare le gengive significa prendersi cura di tutto il corpo.Presso lo Studio Dentistico BCM, in zona Salario -Trieste, a Roma accompagniamo i pazienti in percorsi di prevenzione personalizzati, combinando tecnologie digitali e attenzione umana. L’obiettivo è semplice: salvare i denti naturali e mantenere un sorriso sano nel tempo.

Cos’è la parodontite e perché è così diffusa

La parodontite è una malattia infiammatoria che colpisce i tessuti che tengono saldi i denti: gengive, osso e legamento parodontale. Quando questi tessuti si ammalano, il dente perde progressivamente il suo sostegno naturale, fino a diventare mobile o, nei casi più gravi, a cadere.

Tutto inizia quasi sempre con una gengivite, cioè un’infiammazione superficiale delle gengive: diventano rosse, gonfie e tendono a sanguinare durante lo spazzolamento.
Se non viene trattata, la gengivite può evolvere in parodontite, una forma più profonda e cronica dell’infezione, che agisce silenziosamente sotto la linea gengivale. È proprio questa sua natura “nascosta” a renderla così diffusa: molte persone non si accorgono di averla fino a quando il danno non è già avanzato.

Un dato allarmante: Il 60% degli italiani è affetto da Parodontite

Oggi si stima che più di una persona su due oltre i 35 anni presenti segni di malattia parodontale, in forma più o meno grave.Per questo allo Studio Dentistico BCM a Roma, in zona Salario – Quartiere Africano, la valutazione tiene conto non solo dello stato delle gengive ma anche delle abitudini e della salute generale del paziente.

Le cause principali della parodontite

Le cause principali sono l’accumulo di placca e tartaro, ma anche fattori come il fumo, lo stress, una predisposizione genetica e alcune malattie sistemiche (come il diabete). Riconoscere i segnali precoci è fondamentale per intervenire in tempo.
Ecco i più comuni:

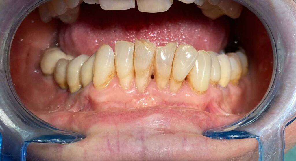
  • Gengive che sanguinano facilmente
  • Alitosi persistente
  • Sensazione di denti “più lunghi” (retrazione gengivale)
  • Mobilità dentale o spostamento dei denti
  • Fastidio o dolore durante la masticazione

Se noti uno di questi sintomi, non aspettare che passi da solo: la parodontite non si risolve spontaneamente, ma può essere curata con successo se diagnosticata presto.

I segnali da non ignorare

La parodontite è una malattia che spesso avanza in modo silenzioso. Nelle fasi iniziali non provoca dolore, e proprio per questo molte persone non si accorgono di avere un problema fino a quando i danni non sono già evidenti. Tuttavia, il nostro corpo ci invia dei segnali che non dovrebbero essere trascurati.

Uno dei primi campanelli d’allarme è il sanguinamento gengivale, che può comparire durante lo spazzolamento o l’uso del filo interdentale. Molti lo considerano normale, ma in realtà è un sintomo di infiammazione. Anche gengive arrossate, gonfie o dolenti possono indicare che qualcosa non va.

Un altro segnale frequente è l’alitosi persistente: l’accumulo di batteri sotto le gengive produce composti che causano un cattivo odore, difficile da eliminare con il solo spazzolino o il collutorio. Con il tempo, le gengive iniziano a ritirarsi, i denti possono apparire più lunghi e, nei casi più avanzati, diventare mobili o cambiare posizione.

È importante non sottovalutare questi sintomi. Anche se sembrano lievi o passeggeri, rappresentano spesso l’inizio di una malattia che può compromettere la stabilità dei denti.

Prenotare una visita di controllo tempestiva permette di chiarire la causa del disturbo e, se necessario, iniziare un percorso di cura mirato. Presso lo Studio …, la prima valutazione parodontale è semplice e indolore: grazie a strumenti digitali e a protocolli personalizzati, è possibile individuare precocemente la presenza di infiammazioni e proteggere la salute della bocca nel lungo periodo.

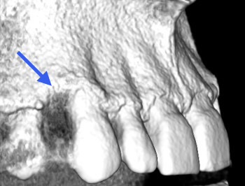
Perché la diagnosi precoce è così importante

Quando si parla di parodontite, il tempo è un fattore decisivo. Come accade per molte altre patologie croniche, intervenire nelle fasi iniziali fa una grande differenza, sia per la salute che per la qualità della vita.
La parodontite non compare all’improvviso: si sviluppa lentamente, partendo da un’infiammazione superficiale delle gengive che, se trascurata, può estendersi in profondità fino a danneggiare l’osso che sostiene i denti.

La diagnosi accurata della parodontite segue oggi protocolli scientifici di parodontologia riconosciuti a livello internazionale. La classificazione europea della malattia parodontale, ad esempio, fornisce linee guida precise per identificare i diversi stadi e gradi della patologia. Per approfondire questo aspetto, lo Studio Dentistico Schenardi di Conegliano ha pubblicato un interessante articolo sulla diagnosi e il trattamento secondo questi standard europei.

Prevenire o contenere i danni più seri della malattia parodontale

Una diagnosi precoce consente di bloccare il processo infiammatorio prima che provochi danni irreversibili. In questi casi, spesso bastano trattamenti minimamente invasivi e sedute di igiene professionale mirate per ripristinare la salute gengivale.
Al contrario, quando la malattia viene individuata tardi, il percorso terapeutico diventa più complesso e può richiedere interventi chirurgici rigenerativi o procedure più lunghe e impegnative per stabilizzare i denti.

Salvaguardare la salute dell’intero organismo non solo della Bocca

Un altro aspetto fondamentale riguarda la salute generale dell’organismo. Oggi sappiamo che l’infiammazione cronica delle gengive non si limita alla bocca, ma può influenzare l’intero equilibrio del corpo. Diversi studi scientifici hanno dimostrato un legame tra parodontite e patologie come il diabete, le malattie cardiovascolari e alcune complicanze della gravidanza.

Sottoporsi a controlli periodici è il modo più efficace per mantenere la situazione sotto controllo.

Visita parodontale approfondita in zona Salario – Quartiere Africano a Roma

Noi dello Studio Dentistico BCM a Roma, in zona Salario – Quartiere Africano, integriamo nella visita parodontale un’analisi accurata dello stato delle gengive e dei tessuti di sostegno, con strumenti digitali che permettono di misurare la profondità delle tasche gengivali e di monitorare nel tempo l’evoluzione della salute orale.

Questo approccio consente di intervenire con precisione, in modo personalizzato e conservativo, garantendo risultati duraturi e un sorriso sano.

Come si cura la parodontite oggi

Curare la parodontite significa intervenire su un’infiammazione complessa, che coinvolge non solo le gengive ma anche l’osso che sostiene i denti. Non esiste una terapia uguale per tutti: il trattamento deve essere personalizzato in base alla gravità della malattia e alle caratteristiche del paziente.Nelle fasi iniziali, quando l’infezione è ancora superficiale, la cura si concentra sulla rimozione della placca e del tartaro con sedute di igiene professionale approfondita. In questa fase è possibile eliminare gran parte dei batteri che alimentano l’infiammazione e ripristinare la salute gengivale senza ricorrere a interventi invasivi.

Curare la parodontite agendo sulle cause: l’igiene profonda

Nei casi in cui la parodontite sia più avanzata, si procede con una terapia causale, che consiste nella pulizia profonda delle radici dei denti (scaling e root planing). Questa procedura, eseguita in anestesia locale e con strumenti ultrasonici o manuali di precisione, consente di eliminare i depositi batterici anche sotto la gengiva, dove lo spazzolino non può arrivare.

Terapia Chirurgica: il rimedio ai danni ad osso e gengive

Quando l’infezione ha già provocato danni significativi all’osso o ai tessuti di sostegno, può essere necessario ricorrere a interventi chirurgici rigenerativi o resettivi.
Si tratta di tecniche moderne e minimamente invasive, che permettono di ricostruire il tessuto osseo o di rimodellare le gengive per ristabilire una corretta igiene e una funzione stabile nel tempo.

Mantenere gengive sane nel tempo: controlli periodici

Fondamentale, dopo la fase attiva di cura, è il mantenimento nel tempo dei risultati. La parodontite è una malattia cronica, e come tale richiede controlli periodici e richiami di igiene personalizzati. Nel nostro studio dentistico in zona Salario – Quartiere Africano, ogni paziente segue un programma di mantenimento costruito su misura, con visite regolari e monitoraggi digitali che consentono di prevenire eventuali recidive.Grazie a questo approccio integrato — diagnosi accurata, terapia mirata e mantenimento costante — è possibile salvare i denti naturali e conservare un sorriso sano per molti anni, senza dolore e con un impatto minimo sulla vita quotidiana.

Tecnologie e approccio dello Studio BCM

Curare la parodontite in modo efficace oggi significa unire competenza clinica, strumenti tecnologici avanzati e un approccio centrato sulla persona. Ogni percorso terapeutico nasce da una valutazione approfondita e personalizzata, che tiene conto non solo della salute delle gengive ma anche delle abitudini, delle esigenze e delle aspettative del paziente.

La fase diagnostica è supportata da tecnologie digitali di ultima generazione, che permettono di analizzare con precisione lo stato dei tessuti di sostegno e di monitorare nel tempo l’evoluzione della malattia.
Grazie a scanner intraorali, radiografie digitali e software dedicati, è possibile ottenere immagini ad alta definizione e misurazioni estremamente accurate, senza fastidi per il paziente. Questo approccio consente di pianificare la terapia in modo mirato, intervenendo solo dove è necessario e con la minima invasività possibile. L’obiettivo è sempre lo stesso: preservare i denti naturali e la salute gengivale nel lungo periodo, riducendo al minimo il disagio e garantendo risultati stabili.
Ogni trattamento viene eseguito con strumenti ultrasonici e dispositivi di precisione che assicurano una pulizia profonda ma delicata, nel pieno rispetto dei tessuti. Nei casi più complessi, le tecniche chirurgiche utilizzate sono minimamente invasive e orientate alla rigenerazione dei tessuti, con tempi di guarigione rapidi e maggiore comfort post-operatorio.

Cure parodontali spiegate in modo chiaro e approccio umano

Ma la tecnologia da sola non basta. Il vero valore aggiunto è l’approccio umano: ascolto, empatia e comunicazione chiara. Ogni paziente viene accompagnato passo dopo passo, con spiegazioni semplici e trasparenti, perché comprendere ciò che accade nella propria bocca è il primo passo per prendersene cura davvero.

La prevenzione quotidiana: cosa puoi fare a casa

La salute delle gengive si costruisce ogni giorno, con piccoli gesti costanti che fanno una grande differenza nel tempo.
Anche il miglior trattamento parodontale perde efficacia se non è accompagnato da una buona igiene domiciliare: per questo, la prevenzione quotidiana è parte integrante del percorso di cura.

Il primo passo è dedicare il giusto tempo alla pulizia dei denti. Spazzolare accuratamente dopo ogni pasto, utilizzando una tecnica corretta e uno spazzolino adatto alle proprie gengive, aiuta a rimuovere la placca batterica prima che si trasformi in tartaro. È importante non esercitare troppa forza: la pulizia deve essere efficace ma delicata, per evitare di irritare o indurre la recessione  delle gengive.

L’uso del filo interdentale o degli scovolini è altrettanto essenziale. Questi strumenti consentono di raggiungere le zone tra un dente e l’altro, dove il solo spazzolino non arriva. Bastano pochi minuti al giorno per prevenire l’accumulo di batteri che possono innescare l’infiammazione.

Un ruolo importante è svolto anche dall’alimentazione: una dieta equilibrata e povera di zuccheri contribuisce a mantenere il microbiota orale in equilibrio e a rafforzare le difese naturali della bocca.
Inoltre, smettere di fumare è uno dei gesti più efficaci per proteggere le gengive, poiché il fumo riduce l’afflusso di sangue ai tessuti e favorisce lo sviluppo della malattia parodontale.

Infine, è fondamentale mantenere un programma regolare di controlli e sedute di igiene professionale. Anche con una buona igiene a casa, nel tempo si formano inevitabilmente depositi che solo strumenti professionali possono rimuovere. I richiami periodici vengono programmati in base alla storia clinica e al rischio individuale di ogni paziente, per garantire una prevenzione davvero personalizzata.Prendersi cura delle gengive non richiede grandi sforzi, ma costanza e consapevolezza. Con piccoli gesti quotidiani è possibile mantenere a lungo la salute del sorriso e ridurre il rischio di recidive della parodontite.

Conclusione: tornare a sorridere con fiducia

La parodontite è una malattia seria, ma non inevitabile. Oggi, grazie alla diagnosi precoce, alle terapie personalizzate e a un approccio basato sulla prevenzione, è possibile fermarla e preservare i denti naturali anche nei casi più complessi.
Ciò che fa davvero la differenza è la consapevolezza: ascoltare i segnali del proprio corpo, non sottovalutare un sanguinamento gengivale e affidarsi a professionisti che sanno accompagnare il paziente in un percorso di cura completo e sostenibile.

Allo Studio Dentistico BCM a Roma, in zona Salario – Quartiere Africano, ogni trattamento nasce da un dialogo aperto e da una valutazione accurata. Crediamo che la salute della bocca non riguardi solo i denti, ma il benessere generale della persona.
Per questo ci impegniamo a offrire un’esperienza di cura serena, senza dolore e con la certezza di essere seguiti in ogni fase: dalla diagnosi alla prevenzione a lungo termine.

Prendersi cura delle gengive significa anche ritrovare la fiducia nel proprio sorriso. È un gesto di attenzione verso se stessi, un modo per migliorare la qualità della vita e prevenire problemi futuri.

Se hai notato piccoli segnali di fastidio o vuoi semplicemente verificare la salute delle tue gengive, questo è il momento giusto per agire. Una visita di controllo è un passo semplice ma fondamentale per mantenere la salute orale e il benessere generale nel tempo.

Condividi

Richiedi

Un appuntamento